ブログBLOG
レントゲンで何が分かる?
2020.07.12(日)
歯科医療から全身の健康維持を目指す近藤歯科医院です。
歯科医院を初めて受診する際に、検査で撮影するレントゲン。
ご自身のレントゲンを表示されても、何を表しているのか分かるような分からないような..と言う方はいらっしゃいませんか!?
(かく言う私が歯科業界に携わる前はそうでした^^;)
レントゲンを撮影する目的は視診や触診では分からない、歯や歯茎の内部を確認することです。
レントゲンをどのように見ていただくと良いか、簡単にご説明致しますと、

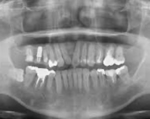
※歯科医師会提供
・向かって右側が患者さまの左側の歯です。
・硬い組織である歯と骨は白く写っています。
・柔らかい組織である歯茎や血管、神経は黒く写ります。
・虫歯も黒く写ります。
・均一な真っ白に写っているところは、治療跡の人工物です。
歯科医師はこのレントゲン画像から、非常に多くの情報を得て診断を行います。
例えば…
① つめもの・かぶせものの下にできている虫歯の進行度。
②歯を支えている骨の溶け具合。
③歯の根の先の炎症状態の有無とその重症度。
④歯ぐきの下に隠れている歯石があるか、またその付着状態。
⑤親知らずがあるか。それが他の歯に影響を与えていないか。
⑥顎の関節の形態に問題は無いか。
⑦歯の神経は残っているか。
他にもレントゲンには多くの情報が表れており、患者様の口腔内の状態を適切に診断するために必要不可欠なツールです。
まれに当院を初めて受診される患者様で
「レントゲンは撮らないで良いから外れてしまった銀歯だけ被せ直して欲しい」
と強くご希望される方がいらっしゃいます。
当院では前述の理由から、原則全ての方(幼児や妊婦を除く)のレントゲンを撮影しております。
ご理解をお願い致します。
なお、特に妊婦の方が気にされる「レントゲンの被曝量」ですが、
当院が導入しているデジタルレントゲンの場合には飛行機で東京⇄ニューヨークを往復するよりも遥かに低い値です。

※歯科医師会提供。CT撮影の場合は東京⇄ニューヨーク往復より値が高くなります。
このように、妊婦の方が歯科のレントゲンを撮影することは胎児にも母体にも被曝量としては問題がありません。
ただし、妊娠期間中というのはどの女性もお腹の中の我が子を慈しみ、時には大いに心配をし、特に健康管理に敏感になっている時期です。
そのため当院では妊婦の方の心理状態にも最大限配慮し、原則ご妊娠中の患者さまのレントゲン撮影は行っておりません。
場合によっては出産後の治療をお勧めさせていただく場合もございますが、歯科医師とご相談いただきながらご出産に向けて最善の選択をしていただければと思います。
当院では治療時にお座りいただく診療ユニット正面に大型ディスプレイ画面で患者さまのレントゲン画像や口腔内写真の画像を表示しています。
治療時にはぜひご自身の口腔内の状態がどうなっているか是非画像で確認をしてみてください。
伊勢原市の歯医者 近藤歯科医院
歯科医師 近藤 淳



